Friday, August 14, 2020

Review Of How Do Dentist Break Your Jaw References

It's a mouth expander to make room for teeth when you get braces
It's a mouth expander to make room for teeth when you get braces from www.pinterest.com.au

Are you curious about how dentists break your jaw during certain dental procedures? It may sound intimidating, but understanding the process can help alleviate any fears or concerns you may have. In this article, we will explore how dentists break your jaw, the reasons behind it, and what you can expect during the procedure.

Pain Points of Jaw Breaking

Undergoing a procedure that involves breaking your jaw can be a daunting prospect. The thought of experiencing pain, discomfort, or potential complications may cause anxiety for many patients. However, it's essential to remember that dentists are highly trained professionals who prioritize your safety and well-being throughout the process.

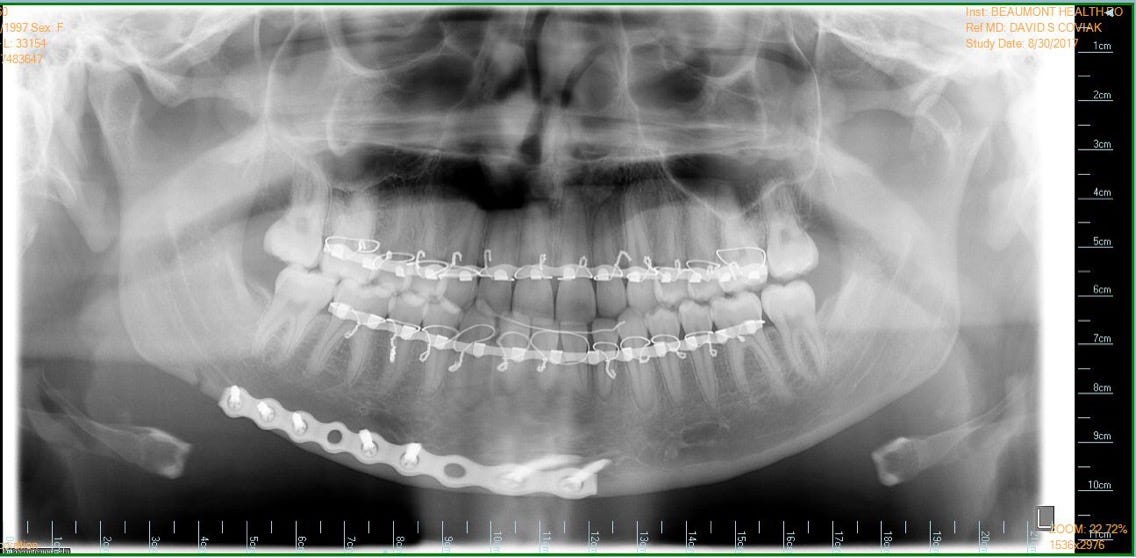
How Do Dentists Break Your Jaw?

When dentists need to realign your jaw or perform corrective surgery, they may have to break your jaw bones. This procedure is known as orthognathic surgery, and it is performed under general anesthesia to ensure your comfort and minimize pain during the process.

During the surgery, your dentist will carefully make incisions in your gums to access the jawbone. They will then use specialized tools to cut through the bone in a controlled manner, allowing them to reposition it as needed. Once the jaw is in the desired position, your dentist will secure it using small metal plates, screws, or wires to promote proper healing.

After the procedure, you can expect some swelling, discomfort, and difficulty eating. However, your dentist will provide you with post-operative instructions and pain management techniques to help you through the recovery process.

Personal Experience with Jaw Breaking

When I underwent orthognathic surgery to correct my misaligned jaw, I was initially apprehensive about the procedure. However, my dentist took the time to explain the process, answer my questions, and address any concerns I had. The surgery itself went smoothly, and the pain was manageable with prescribed pain medication.

During the recovery period, I followed my dentist's instructions diligently, which included a soft food diet, regular ice pack application, and gentle jaw exercises. Gradually, the swelling subsided, and I regained full function of my jaw. The results were remarkable, and I am now more confident in my appearance and overall oral health.

Explaining Jaw Breaking

Orthognathic surgery, which involves breaking the jaw, is a procedure performed by dentists or oral and maxillofacial surgeons to correct a variety of conditions. These may include misaligned jaws, severe overbites or underbites, facial asymmetry, obstructive sleep apnea, or difficulty chewing and speaking.

By breaking the jaw, dentists can reposition the bones to achieve proper alignment and improve the overall functionality and aesthetics of the jaw and face. The procedure aims to enhance oral health, alleviate pain, and enhance the patient's quality of life.

History and Myth of Jaw Breaking

The practice of breaking the jaw to correct dental issues dates back centuries. Ancient civilizations, such as the Egyptians and the Incas, were known to perform cranial surgeries, including jaw realignment. However, these procedures were rudimentary compared to modern techniques, and the risks and outcomes were less predictable.

Over time, advancements in anesthesia, surgical techniques, and technology have revolutionized orthognathic surgery, making it a safer and more effective procedure. Today, dentists undergo extensive training and follow strict protocols to ensure the best possible outcomes for their patients.

Hidden Secrets of Jaw Breaking

While the concept of breaking the jaw may seem daunting, there are hidden secrets behind the procedure that can put your mind at ease. One of the secrets is the use of advanced imaging technology, such as 3D scans and computer-guided surgical planning. These tools allow dentists to accurately assess the jaw's condition, plan the procedure in detail, and minimize the invasiveness of the surgery.

Another secret is the collaboration between dentists and other medical professionals. Orthognathic surgery often involves a multidisciplinary approach, with dentists working closely with orthodontists, oral surgeons, and other specialists to ensure comprehensive treatment and optimal results.

Recommendations for Jaw Breaking

If you are considering orthognathic surgery or have been advised by your dentist to undergo jaw breaking, it is crucial to find a qualified and experienced dental professional. Seek recommendations from trusted sources, read reviews, and schedule consultations to discuss your concerns and expectations.

During the consultation, ask questions about the procedure, the expected outcome, potential risks, and the recovery process. Your dentist should be able to provide clear and detailed answers, offer personalized treatment plans, and address any concerns you may have.

Exploring Jaw Breaking in More Detail

Jaw breaking, or orthognathic surgery, is a complex procedure that requires careful planning and execution. The process typically involves several steps, including pre-surgical orthodontic treatment, the surgery itself, and post-operative orthodontic care.

Before the surgery, your dentist will work closely with an orthodontist to align your teeth correctly. This step is essential as it ensures proper occlusion and bite alignment. The orthodontic treatment may involve braces or other orthodontic appliances to move the teeth into their optimal positions.

Once your teeth are properly aligned, your dentist will determine the best surgical approach based on your specific needs. During the surgery, they will break the jawbone, reposition it, and secure it in place using small plates, screws, or wires. The incisions are then closed, and you are taken to the recovery area.

The recovery period can vary from patient to patient, but it typically involves several weeks of rest and restricted diet. Your dentist will provide you with detailed instructions on how to care for your jaw, manage pain, and maintain oral hygiene during this time.

Tips for Jaw Breaking

If you are preparing for orthognathic surgery or have recently undergone jaw breaking, here are some tips to help you through the process:

  • Follow your dentist's pre and post-operative instructions diligently.
  • Stick to a soft food diet to avoid putting stress on your jaw.
  • Apply ice packs to reduce swelling and alleviate discomfort.
  • Take prescribed pain medication as directed.
  • Avoid strenuous physical activities during the initial recovery period.
  • Practice gentle jaw exercises as recommended by your dentist.
  • Keep up with regular dental check-ups to monitor your progress.

Understanding the Process of Jaw Breaking

When it comes to jaw breaking, it's essential to have a thorough understanding of the process and its potential benefits. By correcting jaw misalignment or other dental issues, orthognathic surgery can improve your oral health, enhance your facial aesthetics, and boost your self-confidence.

Fun Facts About Jaw Breaking

Did you know that orthognathic surgery has been performed for over a century? The first documented case of jaw realignment surgery dates back to 1849, when it was performed by Dr. George Van Ness Dearborn in New York City. Since then, the procedure has evolved significantly, leading to improved outcomes and patient satisfaction.

Another fun fact is that orthognathic surgery can have functional benefits beyond aesthetics. By repositioning the jaw, the procedure can improve breathing, reduce snoring, and alleviate symptoms of obstructive sleep apnea.

How to Perform Jaw Breaking

Jaw breaking, or orthognathic surgery, should only be performed by qualified dental professionals, usually oral and maxillofacial surgeons. The procedure requires specialized training, expertise, and access to the necessary equipment and facilities.

If you are considering jaw breaking, start by scheduling a consultation with a reputable dentist or oral surgeon. They will evaluate your condition, discuss treatment options, and guide you through the entire process. Be sure to ask about their experience, success rates, and any potential risks or complications associated with the surgery.

What If Jaw Breaking?

If you are unsure whether you need jaw breaking or if you have concerns about the procedure, it is crucial to seek professional advice. Schedule an appointment with a qualified dentist or oral surgeon who can assess your condition, answer your questions, and provide you with the necessary information to make an informed decision.

Remember that not all dental issues require jaw breaking, and there may be alternative treatment options available. Your dentist will consider various factors, such as the severity of your condition, your overall health, and your personal preferences, before recommending the most appropriate treatment plan for you.

Listicle of Jaw Breaking

If you are still curious about jaw breaking, here is a listicle of key points to remember:

  1. Jaw breaking, or orthognathic surgery, is a dental procedure performed to realign the jawbone.
  2. The surgery is performed under general anesthesia to ensure patient comfort.
  3. The procedure involves carefully breaking the jawbone and repositioning it to achieve proper alignment.
  4. Orthognathic surgery can correct misaligned jaws, overbites, underbites, facial asymmetry, and other dental issues.
  5. The recovery period may involve swelling, discomfort, and a restricted diet.
  6. Advanced imaging

No comments:

Post a Comment

UA Outlet Deals

Table Of Content Citadel Outlets Related Stocks About Under Armour Factory House in Lakewood, CO Unisex UA HOVR™ Havoc 5 Clone Team Basketba...